Model Smiling
WORLD-CLASS AESTHETIC &
FAMILY DENTISTRY
Request an
appointment

Porcelain Veneers are Too Shiny

Posted by Annmarie SanSevero

I recently had six porcelain veneers placed. Though I had teeth whitening done to make the adjacent teeth the same color of the veneered teeth, the ones with the porcelain veneers are so shiny that it is obvious they are fake. I have hated them from the beginning, but my dentist insisted that I just wasn’t used to them. Is there any way for me to reduce the shine on these?

Olivia


Dear Olivia,

I am glad you wrote. This is an important aspect of cosmetic dentistry that does not get talked about enough. that shine is from the glaze that helps your porcelain veneers to take on that sparkle and give it that natural looking quality, as well as protect them from staining. However, it has to be done correctly.

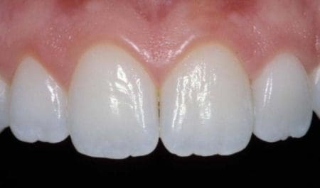
If you look at your natural teeth, their surface isn’t flat. They are textured. Your porcelain veneers have to be made with texture as well. You should also notice that your natural teeth are not the same color from top to bottom. There are variations in the opacity of the teeth. Both texture and variations in opacity are important skills for any cosmetic dentist to be able to do in order for the teeth to look natural. Without that, your porcelain veneers will end up looking flat and overly shiny, which in turn makes them look fake. If you look at the image above, one of those teeth are not a natural tooth, but I bet you can’t tell which one. With skill, those are the type of results you can get.

One of the things you are bumping up against is that cosmetic dentistry is not a recognized specialty. This means that any general dentist can do the work. Unfortunately, it takes a significant amount of postdoctoral training to know how to do this correctly and very few dentists are willing to get that training.

You’d mentioned you’d hated these from the beginning. Also, that your dentist said that was because you “weren’t used to them.” This would not happen with a true cosmetic dentist. Plus, you don’t have to get used to a beautiful piece of art to know whether or not it is ugly or stunning. Any dentist with real cosmetic dentistry training would never have said that to you. Instead, they would place them on with a temporary try in paste first. Then, let you get a good look at them in several different types of lighting. If there was anything about them you didn’t like, he or she would send them back to the lab in order to get the changes you want done.

I would start by going back to your dentist and asking him to redo them, this time creating that texture and variations I mentioned. You spent a lot of money to get a beautiful smile and that is what your dentist should provide. Make sure he does the temporary try-in paste first so that you can make sure they are what you love.

If he says no, your next option is to see an expert cosmetic dentist to get their opinion about the work that was done. Sometimes, when a colleague says the work isn’t up to snuff the dentist is more willing to listen to them than to a patient. It shouldn’t be that way, but sometimes it is. The best cosmetic dentists are AACD accredited. That is different than membership. Any dentist can be a member of the AACD, but to become accredited is a long process that proves the dentist has both the skills and artistry to create beautiful smiles. AACD accredited dentists are the top cosmetic dentists in the world.

This blog is brought to you by Franklin, TN Cosmetic Dentist Dr. Christopher Weber.

Franklin Smiles team photo